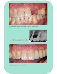
Patient had several missing teeth. The implants supported prosthesis were purposed. The result was satisfactory both in function and esthetics.

Published by Dr. Lee
One of the most famous smile in the history would be the smile of Mona Lisa.
For nearly 500 years, people have been gazing at this portrait with a sense of bafflement. The secret smile would be no longer a mystery if only her smile revealed the teeth.
As a prosthodontist, I am extremely excited to provide comprehensive care for my patients, and help them flagging smile with confidence (teeth).
"Beautiful teeth are definitely a life changing experience."
Ron Leehacharoenkul, D.D.S., M. S.
View all posts by Dr. Lee