Skip to content

Dr. Roongkit Lee

Prosthodontist, Esthetic Dentist, Bangkok, Thailand (ทันตแพทย์ รุ่งกิจ หลีหเจริญกุล, ทันตกรรมประดิษฐ์ ทันตกรรมตกแต่ง กรุงเทพ)

  • About
Esthetic restorative dentistry, Full mouth reconstruction

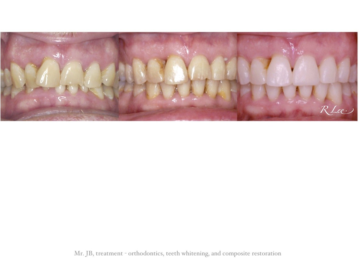
Makeover II

September 30, 2012November 28, 2012 Dr. Lee

 

Leave a comment
Articles

Smile column from Celeb megazine

September 24, 2012 Dr. Lee

Leave a comment
Dental Implant, Full mouth reconstruction

Full mouth reconstruction: Mr. GV

September 24, 2012 Dr. Lee

Leave a comment
Esthetic restorative dentistry

All ceramic crowns

September 24, 2012 Dr. Lee

Leave a comment
Articles

Interdisciplinary Dental Care in USA

September 24, 2012 Dr. Lee

Thank you “wecare dental clinic” for sharing!

2 Comments
Dental Implant

Dental Implants: Ms. SL

September 24, 2012 Dr. Lee

Leave a comment
Full mouth reconstruction

Full mouth reconstruction: Mr. RT

September 23, 2012September 23, 2012 Dr. Lee

Leave a comment
Full mouth reconstruction

Full mouth reconstruction: Mr. JC

September 23, 2012September 24, 2012 Dr. Lee

1 Comment
Education

Education

September 23, 2012September 23, 2012 Dr. Lee

R Lee.

2009   Certificate in Prosthodontics, University of Iowa, USA

2006   Certificate in Operative Dentistry, University of North Carolina at Chapel Hill, USA

2006   Master of Science, University of North Carolina at Chapel Hill, USA
Leave a comment
Esthetic restorative dentistry

Makeover

September 17, 2012September 24, 2012 Dr. Lee

3 Comments

Posts navigation

Newer posts

Recent Posts

  • Improving Smile and Dental Esthetics by Porcelain Veneers
  • Improving smile with porcelain veneers
  • Improving a supernumerary tooth and misalignment teeth with porcelain restorations
  • Improving smile with Orthodontic treatment, Osteotomy and Porcelain Veneers
  • Dental Veneers

Archives

  • August 2024
  • June 2022
  • May 2022
  • February 2021
  • March 2020
  • February 2020
  • November 2019
  • August 2019
  • July 2019
  • March 2019
  • February 2019
  • July 2018
  • April 2018
  • February 2018
  • February 2017
  • August 2016
  • May 2016
  • April 2016
  • October 2015
  • July 2015
  • May 2015
  • February 2015
  • December 2014
  • September 2014
  • July 2014
  • December 2013
  • September 2013
  • August 2013
  • July 2013
  • March 2013
  • February 2013
  • November 2012
  • September 2012

Categories

  • Around the world
  • Articles
  • Dental Implant
  • Education
  • Esthetic restorative dentistry
  • Full mouth reconstruction

Meta

  • Create account
  • Log in
  • Entries feed
  • Comments feed
  • WordPress.com
Blog at WordPress.com.
  • Subscribe Subscribed
    • Dr. Roongkit Lee
    • Already have a WordPress.com account? Log in now.
    • Dr. Roongkit Lee
    • Subscribe Subscribed
    • Sign up
    • Log in
    • Report this content
    • View site in Reader
    • Manage subscriptions
    • Collapse this bar

Loading Comments...